Skip to main content
Newsroom

MRI Can Save Rectal Cancer Patients From Surgery, Study Finds

Magnetic resonance imaging (MRI) can spare patients with rectal cancer from surgery by identifying those who can "watch and wait," new research from the School of Medicine suggests.

Magnetic resonance imaging (MRI) can spare patients with rectal cancer from surgery by identifying those who can "watch and wait," new research from the School of Medicine suggests.

Magnetic resonance imaging (MRI) can spare many patients with rectal cancer from invasive surgery that can carry lifelong side effects, new research indicates.

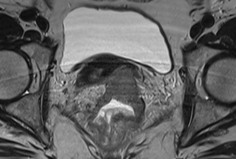
The findings, from UVA Cancer Center’s Arun Krishnaraj, MD, MPH, and collaborators, indicate that MRI can predict patient outcomes and the risk of the tumor recurring or spreading for patients who have undergone chemotherapy and radiation.  

That information could be extremely useful in determining the best course of treatment and deciding whether a patient can avoid surgery in favor of a “watch and wait” approach, the researchers say. In watch-and-wait, doctors continue to monitor patients for cancer reccurrence or spread, holding off on surgery but potentially leaving them uncertain and anxious about the future.

The information MRI can provide would be both useful for doctors and comforting for patients, the new findings suggest.

“After undergoing chemotherapy and radiation for rectal cancer, patients are understandably concerned whether their cancer is gone or whether there may be some leftover disease. Using newer MRI techniques, we are now able to predict much better than in the past whether any cancer remains and, if so, whether it will come back and spread,” said Krishnaraj, a radiologist and imaging expert who is director of UVA Health’s Division of Body Imaging, among other leadership positions. “No one wants to get surgery if they can avoid it. Now we have a powerful tool to help patients and their doctors predict who would benefit from surgery after initial chemotherapy and radiation and who can likely avoid surgery.”

Better Care for Rectal Cancer

Colorectal cancer is increasing among younger adults – those under 50 – even as it has been decreasing among older people. It’s estimated that the disease will strike approximately 1 in 23 men and 1 in 25 women, according to the American Cancer Society.

Rectal cancer is typically treated at first with radiation and chemotherapy, but some patients require what is known as “total mesorectal excision” – the removal of a substantial portion of their bowel. This can be lifesaving but it can also be life-changing: Side effects can include the need for a permanent colostomy bag and sexual dysfunction.

To help patients make the best choices and get the best outcomes, Krishnaraj and his collaborators wanted to see if MRI could serve as a crystal ball for the effects of watch-and-wait. To do this, they analyzed the results of the Organ Preservation in Rectal Adenocarcinoma (OPRA) trial to see how MRI results aligned with patient outcomes. In total, they reviewed outcomes from 277 patients, with an average age of 58, who had the stage of their rectal cancer determined by MRI. The average length of the follow-up period was slightly more than 4 years.

After crunching the numbers, the researchers determined MRI was an effective tool for predicting the patients’ overall survival, the risk of their cancer returning and their chances for keeping their bowel intact. 

The promising MRI crystal ball can likely be made even more effective by combining it with data from endoscopies (visual inspections) after treatment, the OPRA Consortium researchers say. They are urging additional research on the potential of the combination, which they believe could offer doctors and patients a powerful new tool.

“I am optimistic that continued advancement in MRI and other tools like endoscopy will provide better information about future outcomes,” Krishnaraj said. “Ultimately, I would love to get close to 99% predictive probability in better informing our patients about their potential risk for recurrence or spread of their cancers following treatment. We may not be there quite yet, but that is our goal.”

Developing new ways to improve patient care is an essential mission for UVA Cancer Center, one of only 57 cancer centers designated as “comprehensive” by the National Cancer Institute. The designation honors elite cancer centers with the finest cancer care and research programs in the nation.

Findings Published

The OPRA Consortium researchers have published their findings in the scientific journal Radiology. A complete list of the authors and their disclosures is included in the paper.

To keep up with the latest medical research news from UVA, subscribe to the Making of Medicine blog.

Article Topics

Joshua Barney

Joshua Barney

Deputy Public Information Officer