Skip to main content
Healthy Practice

The Merits of Minimally Invasive Valve Surgery

by Holly Cooper Ford

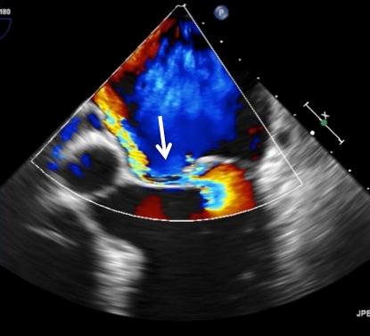
Preop Posterior Leaflet Flail (Torn leaflet) indicated by arrow, with color flow into left atrium

Preop Posterior Leaflet Flail (Torn leaflet) indicated by arrow, with color flow into left atrium

The University of Virginia Advanced Cardiac Valve Center is one of only a few sites in the U.S. offering the full spectrum of treatment options for repairing and replacing cardiac valves. Patients and physicians are increasingly looking for minimally invasive valve surgical options, or “mini valve” surgeries, performed using a smaller incision to access the heart rather than a standard sternotomy approach.

The majority of patients with isolated valve disease (aortic, mitral or tricuspid) are candidates for mini valve surgery. According to Gorav Ailawadi, MD, Director of Minimally Invasive Cardiac Surgery and Surgical Director of the Advanced Cardiac Valve Center, “the mini approach is our preferred approach unless there are one of a few contraindications including severe obesity, a weakened heart or significant calcium deposits in the heart.”

In the case of mitral valve disease, Ailawadi says patients with a severely leaking valve should be evaluated for surgery early, even if the patient is asymptomatic or symptoms are mild. “In the past, cardiologists advised patients to wait until they develop symptoms and then send them to surgery,’” he says. “However, there’s more recent data suggesting there is a survival benefit to getting the valve fixed before symptoms arise. There are already changes in the heart that might not be reversible.”

Expertise in echocardiography gives UVA surgeons a distinct advantage when it comes to accurately diagnosing the extent of valve disease, planning a surgical approach and verifying that the procedure was successful. "The anesthesiologists who specialize in 3D echocardiography and an OR team experienced in mini valve are my secret weapons at UVA," says Ailawadi.

As revealed in the case study below, patients who have mini valve surgery experience a significantly quicker recovery, less scarring and fewer complications than with an open approach. "Often patients who have minimally invasive mitral valve repair are ready to return to driving and get back to work within a couple of weeks," says Ailawadi.

 

Case Study: Minimally Invasive Mitral Valve Repair

Patient: Eric Koontz, a 34-year-old male with mitral valve prolapse

Presented with: Fatigue, shortness of breath, rapid heart beat

“A year before I’d run an ultramarathon,” Koontz says. “Shortly before surgery, walking up a flight of stairs at work made me winded.”After his cardiologist told him he needed surgery, Koontz sought an evaluation at UVA Advanced Cardiac Valve Center. “I’m a young guy and I still have a lot of my life left to live, so it was important to go with a place I felt confident in and trusted,” says Koontz.

Evaluated by: Cardiac surgeon Gorav Ailawadi, MD

Diagnosis: A transesophageal echocardiogram (TEE) revealed a severely leaking mitral valve with regurgitation due to a prolapsed mitral valve.

Treatment: Because the patient was relatively young, otherwise in good health, and was experiencing an isolated valve problem, the team determined he was a good candidate for a minimally invasive mitral valve repair. A CT scan showed no calcium deposition, indicating use of a heart-lung machine through the groin was possible with little risk of stroke, and the scan allowed the surgical team to select the correct location for the incision.

Ailawadi and his highly specialized OR team began the four-hour mini valve procedure by making a 2- to 3-inch incision in the right chest between the ribs (without breaking any bones). Gaining entry to the heart through the left ventricle, Ailawadi utilized a scope to magnify the mitral valve and specialized instruments to repair the valve. Prior to closing the heart, the valve was tested and had no leak. After closing the heart, the valve was reassessed using a TEE and ensured an excellent repair. Heart-lung bypass was then discontinued and incisions were closed.

Outcome: “We had an excellent result with the repair,” says Ailawadi. “He left the hospital in four days.”

Four weeks after surgery, Koontz was back at work and back to being a dad. “I was really impressed with the recovery time,” he says. “I have young kids and it’s great to be back to my normal routine, being able to hold them and play with them.”

One year out, Koontz is training for a marathon. “I don’t feel limited because of my heart,” he says. “I had a great experience at UVA.”

View more images of minimally invasive mitral valve repair.

To refer a patient to the UVA Advanced Cardiac Valve Center or learn more about valve repair or replacement, call 434.243.1146 or visit uvahealth.com/valve.

Subscribe to Healthy Practice

Get UVA Health news & information specifically for referring physicians

Article Topics