Skip to main content
Healthy Practice

UVA Health Among Select Hospitals to Treat Fibromuscular Dysplasia

by Megan E. Davis

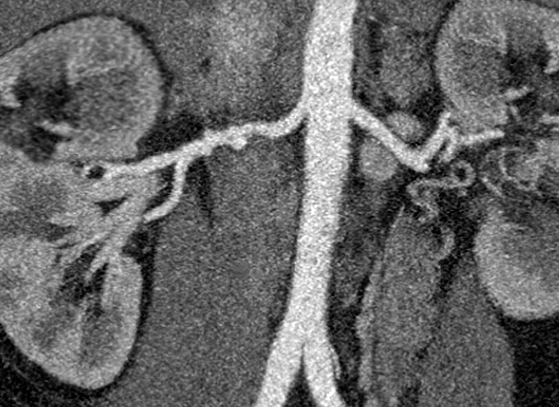
The “string of beads” appearance typical of fibromuscular dysplasia in the right renal artery (at left) visible on a coronal computed tomography angiogram scan.

The “string of beads” appearance typical of fibromuscular dysplasia in the right renal artery (at left) visible on a coronal computed tomography angiogram scan.

Fibromuscular dysplasia (FMD) is a serious condition that is often underdiagnosed and complex in management. UVA Health is one of only 15 U.S. healthcare centers with the requisite knowledge, skills, and infrastructure to treat FMD effectively. In addition, UVA Health is making meaningful contributions to national patient registries respectively designed to improve the diagnosis and treatment of FMD and of spontaneous coronary artery dissection (SCAD), a condition that afflicts a subset of FMD patients and can be life-threatening.

A Motivated & Varied Team  

FMD, which causes arteries to narrow, is unique to younger-to-middle-aged women. It is associated with serious vascular complications such as aneurysm, artery dissection, hypertension, heart attack, and stroke — problems that are atypical among that age group.

Interventional cardiologist Angela M. Taylor, MD, works in the FMD clinic at UVA Health. As a woman, she has an affinity for the patient population, which she says suffers from a lack of awareness about FMD and how to treat it. "SCAD often emerges at odd times, such as during pregnancy or perimenopause," she says. "These otherwise healthy women present in the emergency department with chest pains and are often ignored or told nothing is wrong."

Aditya Sharma, MBBS,  a vascular medicine physician and associate professor at UVA Health, became interested in FMD during his fellowship in vascular medicine. Sharma notes that FMD knowledge was sparse when he entered the field. "Because inadequate management can result in very poor outcomes,” he notes, “I felt it was an important part of my duty as a physician to provide care for these underserved patients."

In addition to interventional cardiologists like Taylor and vascular medicine physicians like Sharma, patients in the clinic benefit from the expertise of specialists in vascular neurology, cardiovascular genetics, neurosurgery, interventional radiology, and vascular surgery.

"We are fortunate to have the vascular surgeons and interventional radiologists with the expertise needed to manage procedures safely and appropriately to avoid dangerous and fatal vascular complications," Sharma says.

This collaborative team provides patients with a wide range of treatment options, including:

  • Medications, such as antiplatelets and anticoagulants for patients at increased risk of stroke or heart attack
  • Hypertension and migraine drugs
  • Endovascular or open surgery procedures when required

Screening From Head to Pelvis

Even within the realm of vascular medicine, FMD requires a unique perspective, according to Sharma. For example, patients are often diagnosed with the condition in one vascular segment, such as the carotid artery. However, up to 80% of those patients will also have it in other arteries. That is why physicians at UVA Health screen FMD patients' vascular system from head to pelvis.

"Our team has some of the most sophisticated imaging modalities available, along with diagnostic imaging professionals who are highly adept at reading those images to make accurate diagnoses," Taylor says.

"FMD isn't managed the same way that common cholesterol or plaque-related coronary or vascular conditions are," Sharma adds. "We look at the entire vascular system to determine the best course of treatment based on the size and location of the aneurysm or dissection as well as the problems they are causing."

UVA Health Makes Meaningful Contributions to Patient Registries

Because FMD is not commonly recognized and often misdiagnosed, the Fibromuscular Dysplasia Society of America established a patient registry to better understand the disease and its treatment. The goals of the registry include identifying patient characteristics associated with FMD, potential markers of the disease, and commonly used imaging and treatment modalities.

UVA Health is one of only 15 active sites participating in the program and the fourth-largest enrolling center. It also plays a key role in another multicenter patient registry, iSCAD, which is focused on accelerating scientific discovery around SCAD.

"Although we know SCAD associated with FMD is more common during pregnancy and menopause, indicating potential hormonal contribution, it can be difficult to predict and treat," Taylor says. "The drugs and mechanisms that we have for other arterial problems, like stents, don't work with SCAD. In fact, stents can make the problem worse by extending the dissection.”

She notes that their work with the iSCAD registry is helping the team learn more about the disease process and identify future therapies.

Leading the Way to Future Cures

With UVA Health's help, the institutions involved in these registries have published scores of abstracts and papers in world-renowned cardiovascular publications and have created the first international FMD consensus document.

"The collaborative nature of UVA Health, coupled with our focus on basic and translational science, aligns perfectly with the collaborative nature of the FMD and iSCAD registries," Taylor says. "We're all working together to treat patients today and find the mechanisms and therapies that will lead to future cures."

Subscribe to Healthy Practice

Get UVA Health news & information specifically for referring physicians

Article Topics

Related Articles