Skip to main content
Healthy Practice

Case Study: Total Ankle Arthroplasty

by Holly Cooper Ford

Ankle replacement surgery has gone
through many iterations over the past decade. With the expertise of three
full-time, fellowship-trained orthopedic foot and ankle specialists to guide
decision-making, UVA has been able to standardize its approach to a procedure
with a somewhat binary treatment algorithm.

“With hip and knee replacement, the implants are all very similar and we’ve converged on similar designs,” says orthopedic surgeon Joseph Park, MD. “But for ankle replacement, there are various device trends and there’s a lack of consensus in the orthopedic community in terms of how this procedure is performed.”

“At UVA, we use our research to dictate which patients are the best candidates and the type of implant we think would perform best for each person, so it’s a more individualized approach to ankle replacement,” adds Park. “In addition, our collaborative biomechanical research helps us analyze and improve current and future ankle replacement designs. Innovations like our robotic gait simulator and motion analysis laboratory allow us to perform research that cannot be done anywhere else in the world.” In the case study below, Park utilizes the Scandinavian Total Ankle Replacement System to provide one patient relief for arthritis pain and compromised mobility.

Case Study: Ankle Replacement

Patient: Sharon Hodges, 69-year-old female

Presented with: ankle pain

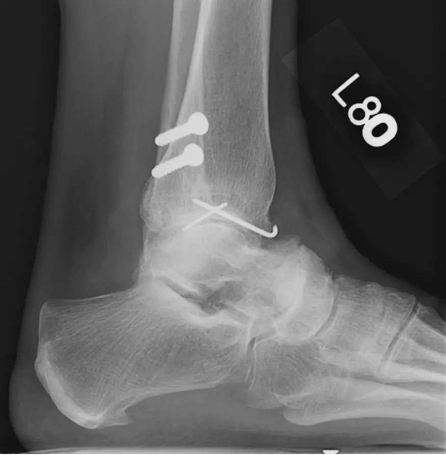
“I fractured my ankle in 1980 and had pins
and screws put in. I didn’t have any issues with it until about 2008 when I
started having pain in my ankle. I love to walk and the pain was preventing me
from walking as far as I used to,” says Hodges.

Case Study: Total Ankle Arthroplasty

Assessed by: orthopedic surgeon Joseph Park, MD

Diagnosis: arthritis in the ankle, as well as subtalar and talonavicular joints

“Sharon came to see me in 2001. She had an X-ray and a physical exam. By watching her walk, I checked her alignment,” says Park. “In addition to ankle arthritis, she had some arthritis in the joint just under the ankle and in other joints of the foot as well.  This combination makes total ankle replacement a preferred option compared to ankle fusion for this specific patient.”

Treatment: bracing followed by total ankle replacement

Hodges had tried bracing to reduce the
pain and swelling in her ankle, however her symptoms persisted. “Injections,
bracing and physical therapy should always be tried before almost any ankle
surgery,” says Park. “If non-operative measures are unsuccessful at relieving
symptoms, then surgery may be the best option.”

Park and Hodges discussed ankle fusion, however Hodges
decided ankle replacement was the better option for her. “Once Dr. Park shared
the pros and cons of the new technology, I decided on ankle replacement because
I wanted to maintain the flexion in my ankle so that I could continue to walk,”
says Hodges.

“The goals of ankle replacement surgery are to maintain or
improve range of motion, and to restore alignment and stability,” says Park. “In
addition, we believe ankle replacement restores a more natural gait compared to
ankle fusion.”

During the approximately three-hour procedure, Park made an incision on the front of the ankle, dissecting between tendons and moving vessels and nerves out of the way in order to expose the ankle. He made templated cuts on the tibia using a cutting guide affixed to the leg. He then removed bone from the tibia and talus, inserting metal components on each side of the joint before placing the plastic portion of the implant between the metal pieces.


Case Study: Total Ankle Arthroplasty


Recovery: Overnight hospital stay, six weeks of splinting and non weight-bearing, followed by a walking cast and exercises to regain motion in the joint

“There was very little pain that I
recall and limited scarring,” says Hodges. “It took about three months before I
got some mobility back.”

“I make sure that patients understand
not just what the surgery itself entails but what their role in recovery will
be,” says Park. “The surgery may take three hours to complete, but for a total
ankle replacement, it can take over a year for full recovery. That doesn’t mean
they’re off their foot for a full year, but continued healing needs to take
place.

“It’s very critical that bone be
allowed to incorporate or grow into the metal components that are inserted. Mechanical
loosening may occur if  there is not adequate
bony incorporation of those metal components.”

Typically, Park recommends physical
therapy at six weeks post-op; however Hodges, a retired nurse, did exercises on
her own to restore flexibility in her ankle joint. “Sharon was a little more
self motivated than most people,” says Park.

Outcome: full recovery with pain resolution and restoration of ankle motion

“Sharon was an optimal candidate for this procedure,” says
Park. “She was the right age and the right BMI [body mass index]. She didn't
have significant alignment problems. She’s informed, motivated and followed
instructions to a T.”

Now eight years out from her procedure, Hodges says she has
developed arthritis in her knee that limits her ability to speed walk long
distances, but she has had no issues with her ankle. “I could not have been
more pleased with the whole procedure,” she says.

According to Park, Hodges is a testament to the longevity of
the implant. “In my opinion, if you make it through the first two years, your
chance of a good long-term outcome — 10- to 15-years-plus — is much higher.
However, it’s important to pursue treatment from foot and ankle fellowship-trained
orthopedic surgeons who do a lot of these procedures and who understand the
importance of limb alignment and ligament balancing.”

Is

Your Patient a Candidate for Ankle Replacement Surgery?

Prior to referring a patient for
evaluation, Park advises referring providers to keep in mind that not every
person is well suited for ankle replacement surgery. “There are some mechanical
problems or alignment problems that make this procedure too risky to perform,”
says Park.

Additional contraindications for this
procedure include:

  • Young patients (under age 60)
  • Patients with neuropathy
  • Someone with poor skin quality or wound healing

    issues   
  • Patients with prior or active infections

    involving the ankle joint 
  • Poor bone quality, including avascular necrosis 
  • Patients with increased body mass index/obesity
  • Patients with comorbidities that may increase

    their risk for infection, including diabetes or rheumatoid arthritis.

To refer a patient,

call UVA Physician Direct at 800.552.3723.

Subscribe to Healthy Practice

Get UVA Health news & information specifically for referring physicians

Article Topics